Literature Highlights丨Ubigene's 2024 Top Research Publications Roundup


Ubigene's 2024 Top Research Publications Roundup

Looking back on 2024, thank you all for choosing Ubigene to assist in scientific challenges and breakthroughs together. Our growth and progress cannot be separated from the trust and support of the vast number of researchers!
During the year 2024, Ubigene assisted researchers in publishing 115 high-quality articles, with a total impact factor of over 1000, covering various services and products such as KO cells, point mutation cells, Luciferase expressing cells, etc. These articles are not only genuine feedback from customers on our products and services, but also a source of motivation for us to keep moving forward. We have selected some top research articles that cite the services and products of Ubigene in 2024, and have organized and briefly interpreted them, hoping to provide experimental ideas and references for more researchers!
Contents
KO Cell-related Top Research Publications
1.
Title: Deep whole-genome analysis of 494 hepatocellular carcinomas
Published in Nature
IF: 50.5

Cited Service/Products: PPP1R12B, KCNJ12, FGA gene knockout cells and overexpression lentivirus carrying mutation sites
Abstract: In this study, 494 HCC patients' tumor tissues from different regions of China were subjected to high-depth whole genome sequencing (average depth, 120x), and the coding and non-coding driver genes, mutational signatures, copy number variations, clustered alternation: chromothripsis, chromoplexy and kataegis, extrachromosomal circular DNA (ecDNA), and the characteristics of mutation evolution were analyzed in depth. Three newly identified potential driver events were also selected for detailed functional verification. Based on CRISPR site directed mutagenesis and knockdown / knockout experiments in multiple cell lines, it was found that mutations in the above genes were sufficient to cause significant changes in gene expression levels, and were involved in regulating various malignant phenotypes of hepatocellular carcinoma, These results confirm the validity of the new driving events found based on data analysis.

Candidate driver landscape
2.
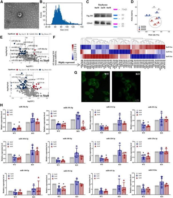
Title: Nondigestible stachyose binds membranous HSP90β on small intestinal epithelium to regulate the exosomal miRNAs: a new function & mechanism
Published in Cell Metabolism
IF: 27.7

Cited Service/Products: HSP90β gene knockout Mode-K cells
Abstract: This study found for the first time that although oligosaccharide stachyose did not enter the small intestinal epithelial cells but accumulated significantly on the cell membrane surface and bound to the heat shock protein HSP90β on the small intestinal epithelial cell membrane. HSP90 is known as the regulatory "switch" for extracellular vesicle secretion. Extracellular vesicles act as important messengers for intercellular communication, transmitting their miRNA, protein and other signaling molecules to recipient cells, activating intracellular signaling pathways, and regulating physiological functions of the body. The team further investigated and revealed a novel nutritional function of stachyose by directly acting on the HSP90β membrane of small intestinal epithelial cells to reorganize their extracellular vesicle miRNA expression profile, and was the first to elucidate the indirect probiotic mechanism by which stachyose regulate gut microbiota through this novel function.

Knockout of HSP90β in MODE-K cells eliminates the accumulation of stachyose on the cell membrane and the regulatory effects of stachyose on the exosomal miRNA expression
3.
Title: Nuclear miR-204-3p mitigates metabolic dysfunction-associated steatotic liver disease in mice
Published in Journal of Hepatology
IF: 26.8

Cited Service/Products: TLR4 gene knockout THP-1 cells
Abstract: This study demonstrates a new discovery of the role of miR-204-3p in macrophages, which depends on transcriptional regulation of ULK1 expression. It can increase autophagic flux, reduce inflammatory response, and thus limit fatty liver disease. Therefore, miR-204-3p and potential specific ULK1 drug agonists may become new therapeutic targets for metabolic dysfunction-associated steatotic liver disease (MASLD).

Graphical abstract
Point Mutation Cell-related Top Research Publications
1.
Title: Acetate reprogrammes tumour metabolism and promotes PD-L1 expression and immune evasion by upregulating c-Myc
Published in Nature Metabolism
IF: 18.9

Cited Service/Products: MYC gene mutated (p.K148R) A549 cells, MYC gene mutated (p.K148Q) A549 cells
Abstract: This study reveals the important mechanism by which acetic acid taken up by tumor cells reprograms tumor cell metabolism and promotes immune evasion by upregulating c-Myc levels. Importantly, the efficacy of immune checkpoint inhibitor therapy is enhanced by regulating the tumor acetic acid metabolism pathway.

Graphical abstract
2.
Title: FOXP1 phosphorylation antagonizes its O-GlcNAcylation in regulating ATR activation in response to replication stress
Published in The EMBO Journal
IF: 9.4

Cited Service/Products: FOXP1 gene mutated (S396A and S396D) HEK293 cells
Abstract: This study reveals a novel mechanism by which the forkhead box (FOX) transcription factor FOXP1 promotes ATR-CHK1 activation under replication stress. This function is independent of the transcriptional regulatory activity of FOXP1 and is regulated by the interaction between phosphorylation and glycosylation modifications of FOXP1.

Graphical abstract
More High-IF Research Publications (Excerpt)
| Catagory | Cited Service/Products | Published in | IF |
| KO Cell | ERBB2 gene knockout A549 cells | Bioactive Materials | 18 |
|---|---|---|---|
| hXPO5 gene knockout 293T cells | Nature Communications | 14.7 | |
| SNORD48 gene knockout PC-3 cells | Advanced Science | 14.3 | |
| Atg5 gene knockout H9c2 cells | Advanced Science | 14.3 | |
| Virus/Plasmid | HT22 cells, GPR119 knockout lentivirus packaging | Cell Metabolism | 27.7 |
| Overexpression plasmid | Nature Communications | 14.7 | |
| Gene knockout plasmid | Advanced Science | 14.3 | |
| Products | THP-1-EGFP | Cell Stem Cell | 19.8 |
| B16F10-Luc | ACS nano | 15.8 | |
| 4T1-Luc | Nature Communications | 14.7 |
If you have any needs for our gene-editing services or products, we are here to assist you!


