IF=9.1丨Effect of glutamine metabolism on radiotherapy efficacy in head and neck squamous


IF=9.1丨Effect of glutamine metabolism on radiotherapy efficacy in head and neck squamous

Background
Head and neck cancer is the eighth leading cause of death globally, with approximately 90% being head and neck squamous cell carcinoma (HNSCC). The prognosis for HNSCC is poor, with a 5-year overall survival rate of only 50%. Radiotherapy is an important treatment modality for HNSCC; however, issues such as radiotherapy resistance and high local recurrence rates persist. Metabolic reprogramming in tumor cells enables their growth and survival under stress, with glutamine metabolism playing a crucial role in tumors. Ferroptosis, an iron-dependent form of cell death, is associated with cancer treatment, but the regulatory effects of glutamine metabolism on ferroptosis and its impact on the effectiveness of radiotherapy remain unclear.
Abstract
A team from Wuhan University, China published a research titled “Glutamine inhibition combined with CD47 blockade enhances radiotherapy-induced ferroptosis in head and neck squamous cell carcinoma” in Cancer Letters. The study primarily investigated the treatment of head and neck squamous cell carcinoma, particularly exploring the therapeutic effects of glutamine inhibition and CD47 blockade in conjunction with radiotherapy. The research employed the mIrf gene knockout lentivirus constructed by Ubigene to create Irf-1 gene knockout SCC7 cells.
Contents
- 01 Radiotherapy Induces Increased Glutamine Levels in HNSCC Cells
- 02 Radiotherapy Combined with Restricted Glutamine Uptake Synergistically Promotes Ferroptosis
- 03 Ferroptosis Induced by Combined Treatment Depends on IRF1 Expression in HNSCC
- 04 Combined Radiotherapy and Glutamine Blockade Weakens Macrophage Phagocytosis
- 05 Combined Glutamine and CD47 Blockade Enhances Radiotherapy Efficacy in HNSCC
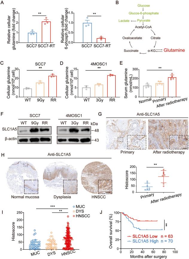
Radiotherapy Induces Increased Glutamine Levels in HNSCC Cells
Radiotherapy affects cancer cell survival and metabolism, leading to elevated glutamine levels in cells receiving treatment, while glucose levels decrease. The glutamine levels in these cells post-radiotherapy were higher than in untreated tumor cells, and serum glutamine levels were elevated in HNSCC patients. The upregulation of SLC1A5 expression correlated with poorer survival outcomes, indicating that glutamine metabolism plays a key role in HNSCC progression.

Figure 1. Radiotherapy induces changes in glutamine metabolism in HNSCC cells.
Radiotherapy Combined with Restricted Glutamine Uptake Synergistically Promotes Ferroptosis
The glutamine inhibitor V-9302 suppresses cancer cell proliferation. The combination of radiotherapy and glutamine blockade further inhibits cell viability and induces tumor cell death, primarily mediated by ferroptosis, characterized by iron ion accumulation, increased lipid peroxidation, and altered mitochondrial morphology.

Figure 2. Radiotherapy combined with glutamine inhibition induces cell ferroptosis.
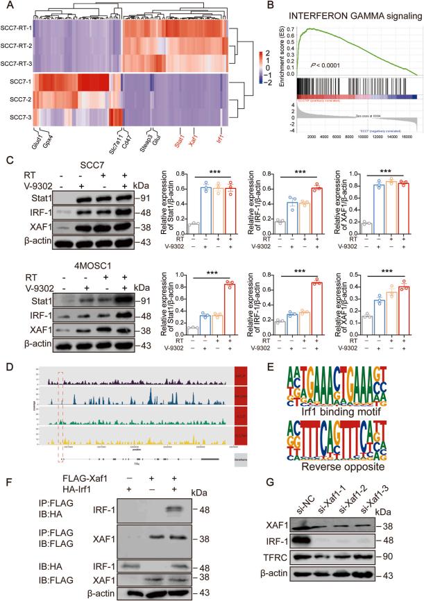
Synergistic Effects of Radiotherapy and Glutamine Blockade Enhance Ferroptosis via Interferon-γ Pathway
Radiotherapy and glutamine blockade activate the interferon signaling pathway, increasing interferon release, which affects downstream gene expression. Among these, IRF1 regulates the transferrin receptor Tfrc involved in ferroptosis regulation, while XAF1 interacts with IRF1 to enhance its transcriptional activity.

Figure 3. Synergistic radiotherapy and glutamine blockade induce ferroptosis via the interferon-γ pathway.
Ferroptosis Induced by Combined Treatment Depends on IRF1 Expression in HNSCC
After silencing IRF-1 expression using CRISPR/Cas9, the combined treatment could not induce ferroptosis in IRF-1 knockout cancer cells. In vivo experiments also indicated that the combined treatment did not significantly impact tumor growth in IRF-1 knockout mice, demonstrating that radiotherapy-induced ferroptosis relies on IRF1 expression.

Figure 4. Ferroptosis induced by combined treatment is dependent on IRF1 expression.
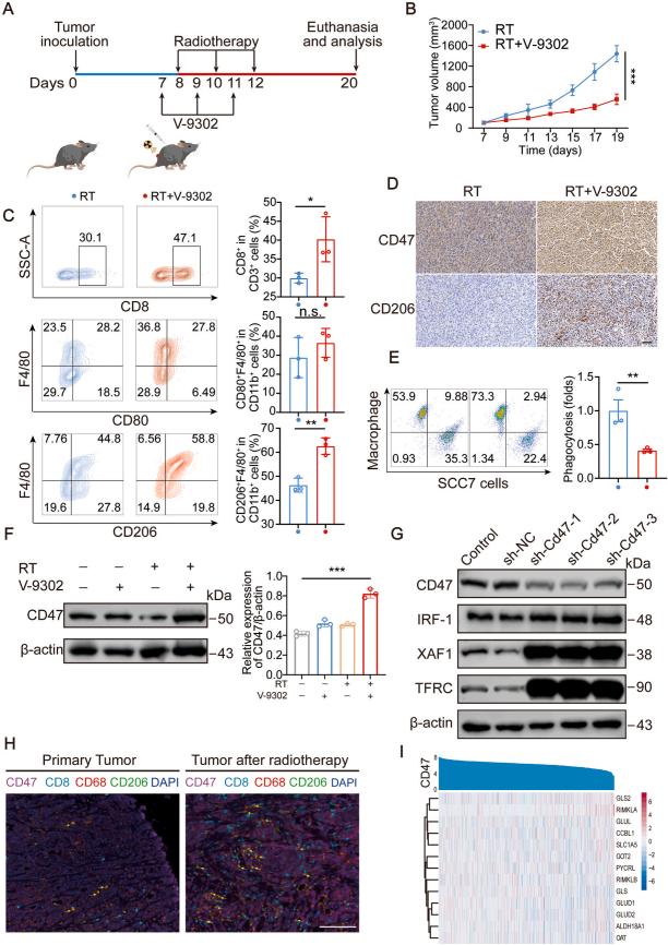
Combined Radiotherapy and Glutamine Blockade Weakens Macrophage Phagocytosis
In mouse models, the combination of radiotherapy and glutamine blockade increased CD8+ T cell ratios but also elevated the proportion of M2 macrophages. In addition, the upregulated CD47 expression within tumor tissues, leading to weakened macrophage phagocytic activity, with CD47 closely related to ferroptosis-associated genes.

Figure 5. Glutamine enhances the effect of radiotherapy
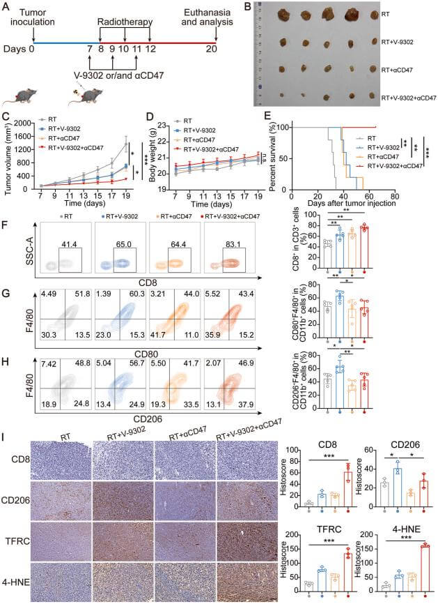
Combined Glutamine and CD47 Blockade Enhances Radiotherapy Efficacy in HNSCC
In mouse models, the synergistic blockade of glutamine and CD47 further enhanced the efficacy of radiotherapy, prolonging mouse survival while improving the tumor micro-environment. This approach increased the infiltration of CD8+ T cells in tumors and reduced M2 macrophage infiltration, validated across multiple mouse HNSCC models.

Figure 6. Triple therapy further enhances the therapeutic effect of SCC7 tumors
Conclusion
This study reveals how glutamine metabolism influences the efficacy of radiotherapy in HNSCC. The combination of glutamine inhibition and radiotherapy can induce tumor ferroptosis but concurrently leads to CD47-mediated immune antiphagocytic effect. The authors innovatively propose the combined inhibition of glutamine uptake and CD47 blockade to enhance the efficacy of radiotherapy for HNSCC and improve the tumor micro-environment. This provides a new strategy for enhancing HNSCC radiotherapy efficacy, emphasizing how tumors achieve immune evasion through metabolic reprogramming, with glutamine and CD47 as potential targets for radiotherapy sensitization and anti-phagocytosis.
4500+ in-stock KO Cells full fill your research needs! Delivery time fast as 1 week!
Feel free to reach out to inquire about the stock availability with your gene of interest!
Reference
Song, An et al. “Glutamine inhibition combined with CD47 blockade enhances radiotherapy-induced ferroptosis in head and neck squamous cell carcinoma.” Cancer letters vol. 588 (2024): 216727. doi:10.1016/j.canlet.2024.216727


